Skip to main content

Hand Case 17

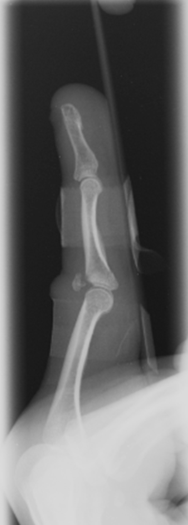
The patient “jammed” her finger playing basketball. What is the specific diagnosis?


dorsal plate fracture


Answer