Pelvis/Hip Case 1
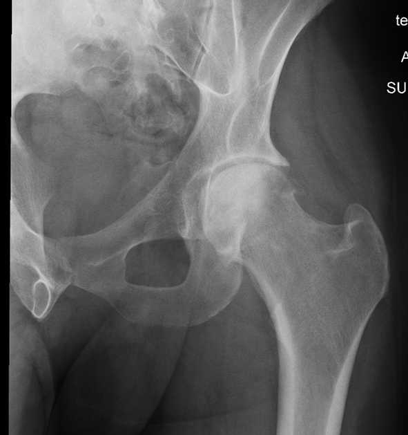
This HIV patient has bilateral hip pain worse on the left for 3 weeks. There's no history of trauma, and he's ambulatory with pain. What's the diagnosis and management?

This HIV patient has bilateral hip pain worse on the left for 3 weeks. There's no history of trauma, and he's ambulatory with pain. What's the diagnosis and management?
