Hand Case 9
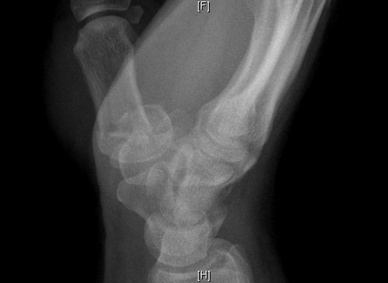
A 40 year old male presents with a painful thumb after crashing his bicycle. On physical exam there is swelling and tenderness around the base of the thumb. What is the diagnosis?


A 40 year old male presents with a painful thumb after crashing his bicycle. On physical exam there is swelling and tenderness around the base of the thumb. What is the diagnosis?

