Hand Case 18
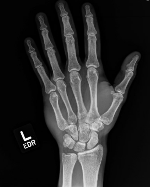
The patient punched a wall in an episode of frustration with his left hand and has pain and swelling over the ulnar aspect of his hand and wrist. What is the diagnosis?

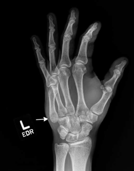
The patient punched a wall in an episode of frustration with his left hand and has pain and swelling over the ulnar aspect of his hand and wrist. What is the diagnosis?
