Soft Tissue Case 1
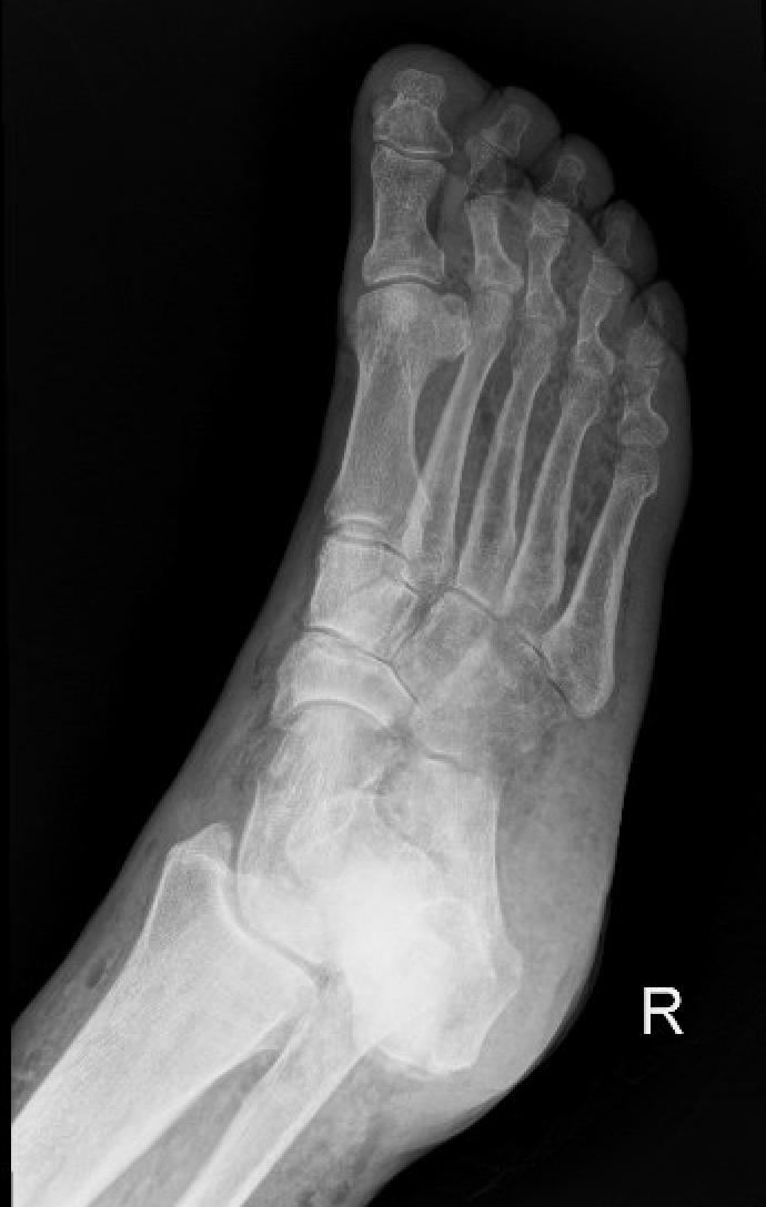
A 50 year old diabetic man presents with worsening pain of a chronic foot wound. He is ill-appearing with a wound on his foot that appears infected. There is palpable crepitus. What is the diagnosis and management based on this XR?

