Skip to main content

Soft Tissue Case 1 Answer

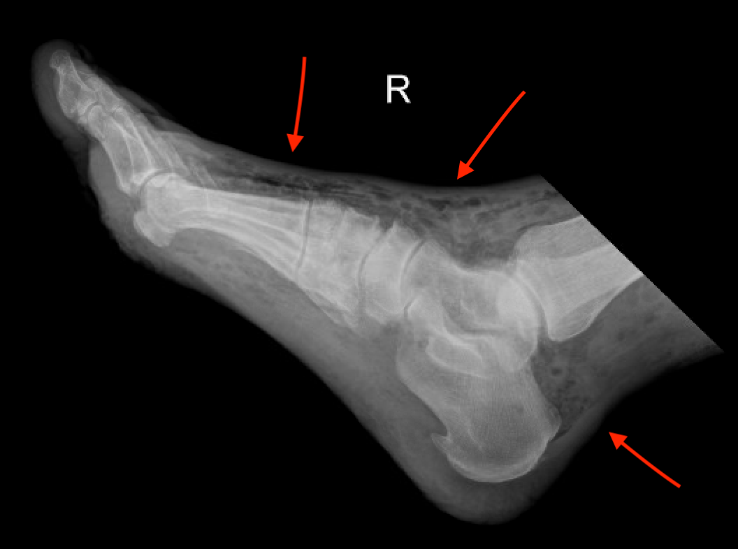
Answer: Necrotizing Fasciitis

Subcutaneous air in surrounding soft tissue 

necrotizing fasciitis xray.        

 

necrotizing fasciitis xray foot