Soft Tissue Case 1 Diagnosis
Necrotizing Fasciitis
Diagnosis
Laboratory findings may include:
- Leukocytosis
- Elevated inflammatory markers
- Hyponatremia
- Elevated CK
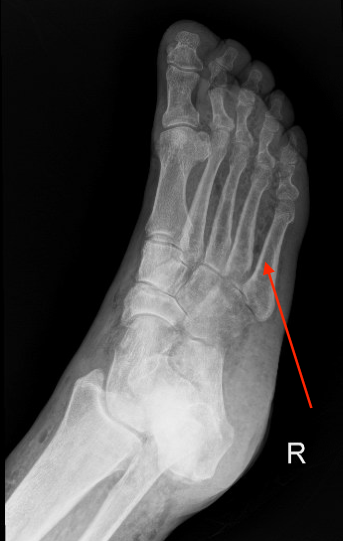
X-rays such as this example may demonstrate diagnostic subcutaneous air along the fascial plain but the sensitivity is only about 40%. High clinical suspicion should prompt a CT scan which has a 89% sensitivity for a necrotizing infection. 3
