Angulation, Displacement & Dislocation
There is a convention to ensure that caregivers all describe the same injury the same way. The convention is that angulation, displacement, and dislocation are described by where the distal fracture fragment is in relation to the proximal fragment. Displacement is the loss of axial alignment, while angulation is tilt, either described by the convention (distal fragment relative to proximal) or in the direction of the fracture apex.
For the example below, the fracture is dorsally displaced about 1cm (loss of axial alignment).

Angulation is TILT. The anatomical reference point is the long-axis. The below image can be described as 45-55° of posterior angulation (as the distal fragment is posterior compared to the proximal fragment, this is in reference to the dorsal side of the fracture) OR by utilizing the apex of the fracture (volar side), there is 45-55° of apex anterior angulation, as the apex of the fracture points anterior however as the angle is always in reference to the long-axis, it remains stable. Keep in mind you can also have apex medial, apex lateral, and apex posterior.

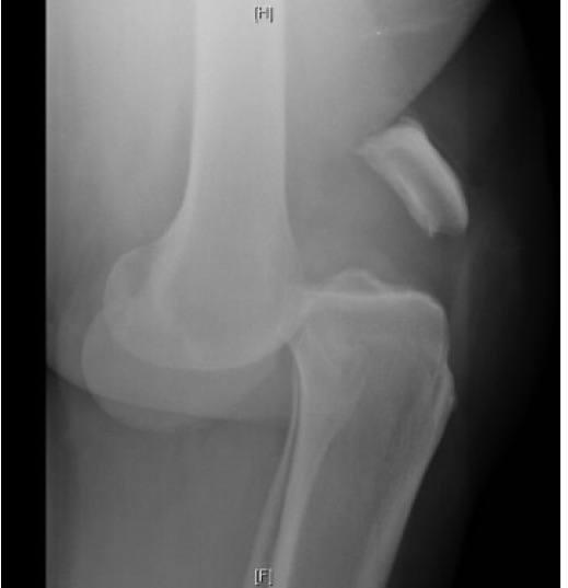
By convention, what direction is the below dislocation?

Anterior dislocation. By convention the distal part of the injury (tibia) is anterior to the proximal part of the injury (femur).