Leg/Knee Case 7
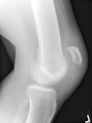
A long jumper lands in the sand pit and suddenly has severe pain and is unable to extend his knee. What is the diagnosis?

A long jumper lands in the sand pit and suddenly has severe pain and is unable to extend his knee. What is the diagnosis?
