Soft Tissue Case 1 Additional Images
Necrotizing Fasciitis

This is another case of necrotizing fasciitis- a subtype known as Fournier's gangrene, necrotizing fasciitis of the perineum. The most common risk factor of this infection is diabetes, though can be seen in patients with a malignancy or immunocompromised states. This is a urologic emergency.

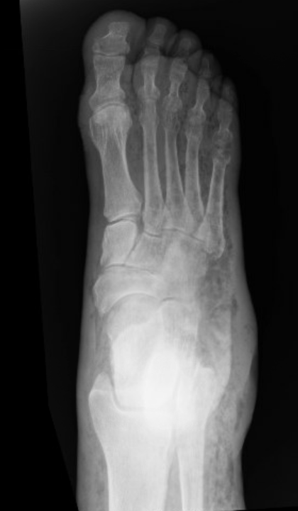
This is a case of necrotizing fasciitis as well. Note the subcutaneous air along the first through fifth metatarsals.
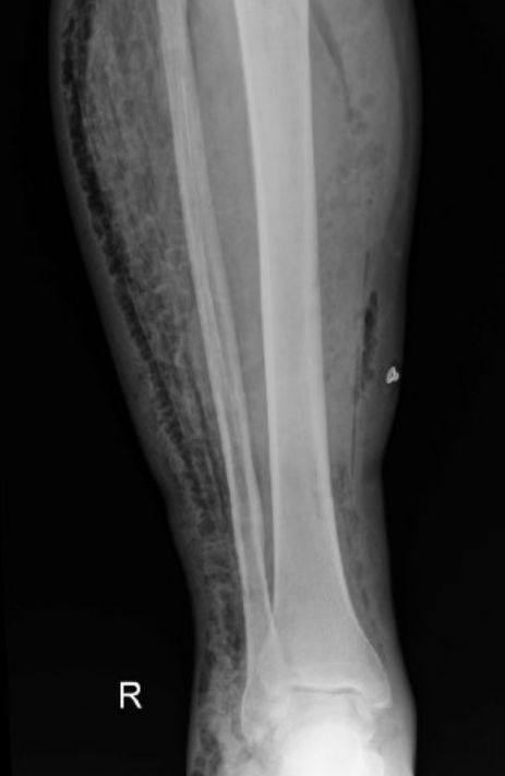
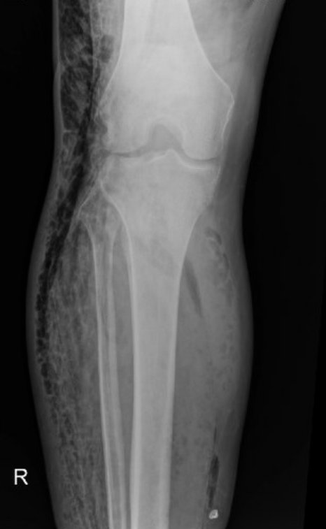
Below is a case of extensive right lower extremity necrotizing fascitis with diffuse subcutaneous emphysema.
Right foot:

Right tib/fib:

Right femur:
