Additional Images
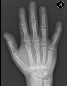
This patient dislocated the second, third, fourth, and fifth CMC joints. Note how the diagnosis is apparent on the lateral view (and lesser so on the oblique view), but not on the AP view.

Dislocation of the first CMC joint.

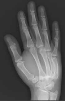
This patient dislocated the second, third, fourth, and fifth CMC joints. Note how the diagnosis is apparent on the lateral view (and lesser so on the oblique view), but not on the AP view.

Dislocation of the first CMC joint.
