Pelvis/Hip Case 1 History/Physical Exam
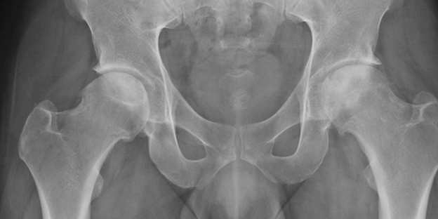
Avascular Necrosis of the Femoral Head
History and Physical Exam
Diagnosing AVN can be difficult because there are no distinguishing clinical features about the disease. History may reveal predisposing risk factors in the patient with non traumatic hip pain which may initiate suspicion. AVN can be asymptomatic for more than 5 years. Often pain is gradual and insidious in onset, although some report a moment when acute pain began. On physical exam, pain is around the groin or hip (or affected joint), but may sometimes radiate to the buttocks, knee or anteromedial thigh. If around the hip joint, the pain can be elicited with standing and eased with rest. Range of motion testing is painful.
