Hand Case 16 Background
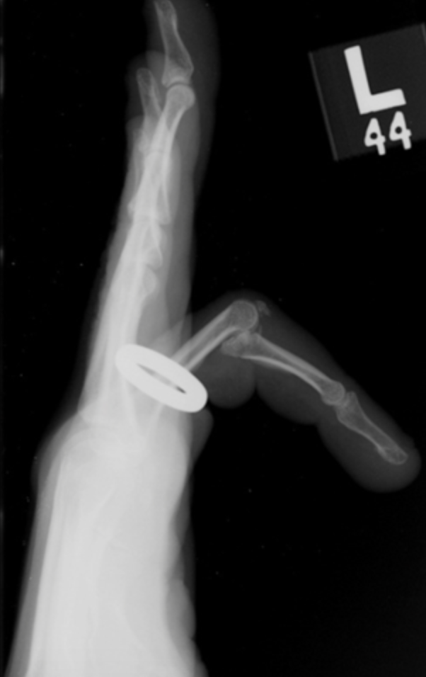
PIP Dislocations
There are three types of PIP dislocations
- Dorsal (most common): The middle phalanx is displaced towards the back of the hand. (Remember dislocations are described by convention by where the distal part of the injury is in relation to the proximal part of the injury).
2. Volar: The middle phalanx is displaced towards the palm of the hand.
![]()
3. Lateral: The middle phalanx is displaced to the side.

