Skip to main content

Hand Case 16 Additional Images

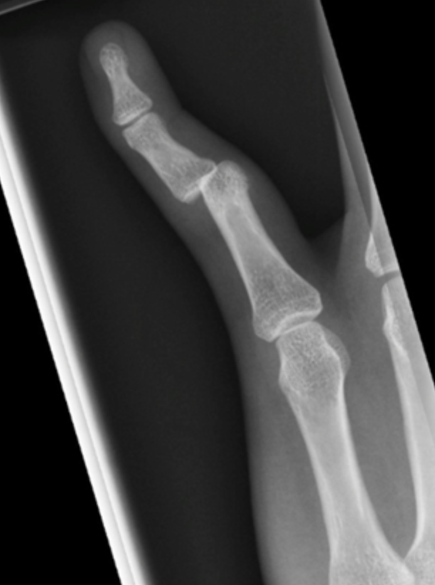
Finger Dislocations 

 

Additional lateral dislocations 

PIP dislocationPIP dislocationPIP dislocation