Bone Lesions Case 5 Additional Images
Rickets

AP view of the same leg as described in the case. This view also demonstrates bowing of the tibia and fibula

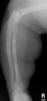
Lateral view of the right leg of the patient described in the case

AP view of the right leg of the patient described in the case.

Bowing of the radius and ulna; multiple healing fractures; osteopenia