Soft Tissue Case 3 Additional Images
Wound Foreign Body

This patient stepped on a sewing needle. The needle was removed by orthopedics with fluoroscopic guidance.

This patient was moving a mirror barefoot and cut her toe. A pebble was removed from the wound.

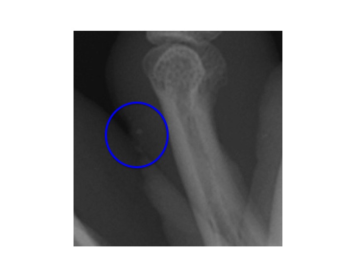
This patient has 2 pieces of glass in her elbow after an MVC. The wound has been marked with a BB to help the clinician guide removal.

This patient sustained a finger wound falling into gravel and has retained debris after irrigation. She was irrigated more and debrided. Subsequent films were negative for any retained material.