Hand Case 12 Additional Images


AP and Oblique views of the same finger as described in the case. The fracture is not apparent on these views, which is a common occurrence.  The lateral view is crucial and must be examined thoroughly.

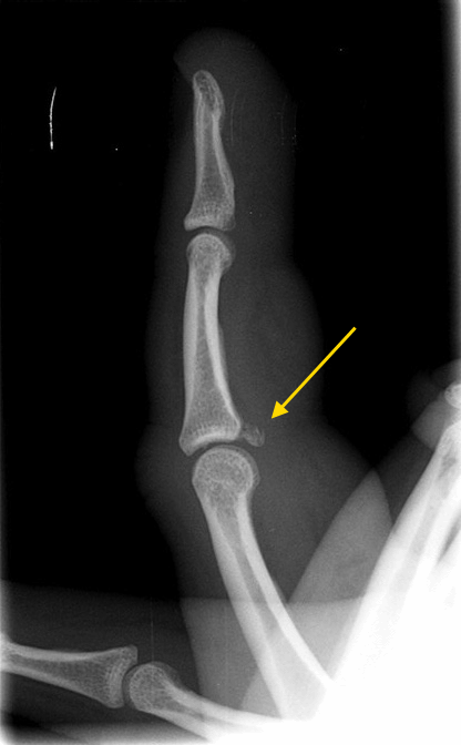
Lateral view of a different volar plate fracture

A lateral view of yet another volar plate fracture