Feinberg School of Medicine
Northwestern Medicine
|
Northwestern University
News Center
|
Faculty Profiles
Northwestern University Feinberg School of Medicine
Orthopedic Teaching
Skip to main content
Orthopedic Teaching
Cases
Orthopedic Teaching Cases Overview
Bony thorax
Bony Thorax Cases
Case 1
Case 2
Ankle
Ankle Cases
Case 1
Case 2
Case 3
Case 4
Case 5
Case 6
Case 7
Case 8
Case 9
Case 10
Case 11
Bone-lesions
Bone Lesion Cases
Case 1
Case 2
Case 3
Case 4
Case 5
Elbow
Elbow Cases
Case 1
Case 2
Case 3
Case 4
Case 5
Foot
Foot Cases
Case 1
Case 2
Case 3
Case 4
Case 5
Case 6
Case 7
Case 8
Case 9
Forearm
Forearm Cases
Case 1
Case 2
Case 3
Hand
Hand Cases
Case 1
Case 2
Case 3
Case 4
Case 5
Case 6
Case 7
Case 8
Case 9
Case 10
Case 11
Case 12
Case 13
Case 14
Case 15
Leg-knee
Leg/Knee Cases
Case 1
Case 2
Case 3
Case 4
Case 5
Case 6
Case 7
Case 8
Case 9
Case 10
Case 11
Pediatrics
Pediatrics Cases
Case 1
Case 2
Case 3
Case 4
Case 5
Case 6
Case 7
Case 8
Case 9
Case 10
Case 11
Case 12
Case 13
Case 14
Pelvis/Hip
Pelvis/Hip Cases
Case 1
Case 2
Case 3
Case 4
Case 5
Case 6
Case 7
Case 8
Case 9
Case 10
Case 11
Case 12
Shoulder
Shoulder Cases
Case 1
Case 2
Case 3
Case 4
Case 5
Case 6
Case 7
Case 8
Case 9
Case 10
Case 11
Case 12
Soft-tissue
Soft Tissue Cases
Case 1
Case 2
Case 3
Case 4
Case 5
Case 6
Case 7
Case 8
Case 9
Case 10
Spine
Spine Cases
Case 1
Case 2
Case 3
Case 4
Case 5
Case 6
Case 7
Case 8
Case 9
Case 10
Case 11
Case 12
Case 13
Case 14
Wrist
Spine Cases
Case 1
Case 2
Case 3
Case 4
Case 5
Case 6
Case 7
Case 8
Case 9
Case 10
Case 11
Search by Diagnosis
Teaching Videos & Slides
Teaching Videos & Slides Overview
Physical Exam PowerPoints
Physical Exam Videos
Arthrocentesis Videos
Intro to Emergency Orthopedics for Medical Students
Compartment Pressure Check
Approach to Film Interpretation
Radiographic Approach
General Principles
Anatomy Description
Fracture Nomenclature & Description
Angulation, Displacement & Dislocation
Shoulder
Shoulder Overview
AP View
AP with Internal Rotation View
Y View
Axillary View
Soft Tissue
AC Separation
Posterior Shoulder Dislocation
Humeral Neck Fracture
Splinting
Splinting Overview
Quick Splinting Reference
Guide to Splinting
Cervical Spine Management
Cervical Spine Overview
Cervical Spine Brief Reference
Guide to Cervical Spine Management
Search
Feinberg Home
>
Orthopedic Teaching
>
Cases
>
Ankle
>
Case 9
>
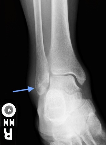
Ankle Case 9 Answer
Cases
Orthopedic Teaching Cases Overview
Bony thorax
Ankle
Ankle Cases
Case 1
Case 2
Case 3
Case 4
Case 5
Case 6
Case 7
Case 8
Case 9
Ankle Case 9
Ankle Case 9 Answer
Ankle Case 9 Background
Ankle Case 9 History/Physical Exam
Ankle Case 9 Diagnosis
Ankle Case 9 ED Management
Ankle Case 9 Pearl
Ankle Case 9 References
Ankle Case 9 Additional Images
Case 10
Case 11
Bone-lesions
Elbow
Foot
Forearm
Hand
Leg-knee
Pediatrics
Pelvis/Hip
Shoulder
Soft-tissue
Spine
Wrist
Ankle Case 9 Answer
Answer: Weber A (Lateral Malleolus/Distal Fibula) Fracture