Pediatrics Case 1 ED Management
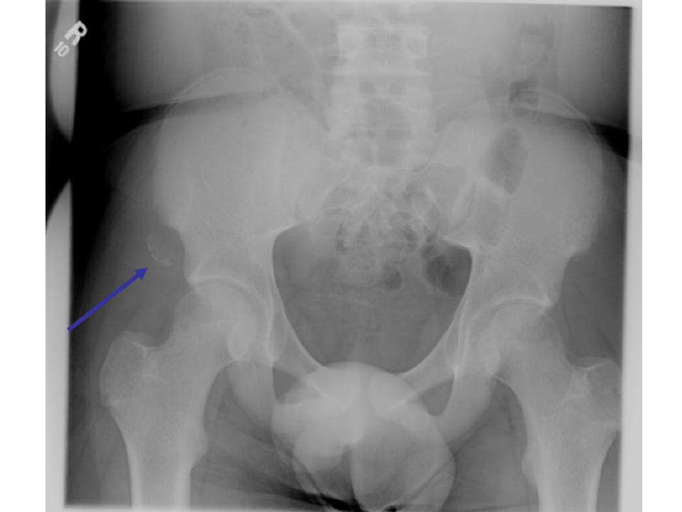
Avulsion Fracture of the Anterior Superior Iliac Spine
ED Management
Non operative treatment is generally recommended for avulsion injuries to the ASIS and AIIS. Advise rest, ice, and NSAIDS. When in bed, a position that avoids tension on the affected muscle should be advised. The patient can bear weight as tolerated with crutches for additional comfort. Refer for a routine orthopaedics follow-up. Athletic activities can resume when the patient is able to participate without pain.
