Feinberg Home > Orthopedic Teaching > Cases > Ankle > Case 5 > Ankle Case 5 Additional Images
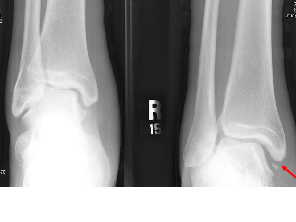
Another patient with a Maisonneuve fracture.